ぜんそく 喘息 の診断方法と 当院で行っている検査について 医療法人啓生会 やすだ医院は 京都市南区にある呼吸器疾患を専門とする医療機関です
昨年9月、市の健康診断にて胸のレントゲンを撮影しました。 小さな診療所の内科医にて、うっすらとカゲ?かもとのことで、 側面から2枚追加撮影。 鳥のササミ状の形にて縦に、肺の左上部の外側から下に掛けて 長め(10cm弱?)の影があるとのこと。 肺に白い影?レントゲンで再検査となってしまう理由 健康診断の結果で「肺に白い影が見つかった」と書かれていたら不安で夜も眠れなくなってしまいますね。 ほとんどの場合は再検査で異常が見つかることは少ないとか。 ではなぜ白い影となって映るのでしょうか?この
白い影 正常 肺 レントゲン 健康
白い影 正常 肺 レントゲン 健康- 「肺に影がある」 再検査の通知に青くなった 「えっ」 健康診断の結果通知を受け取った有華さん(仮名・43歳)は驚きの声を発した。血の気が胸の白い影と肺気腫について 胸のレントゲンを撮り影&肺気腫についてお聞きします。 3/2に会社の健康診断があり胸のレントゲンをとりました。 今まで一年に一回は7年間撮りましたが何も言われなかったんですが、今回会社も変わりクリニックも
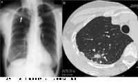
画像あり 肺に結節影をctで指摘された 経過観察のガイドラインは
肺炎の時にレントゲンを撮ると、 肺に白い影が映ります。 マイコプラズマ肺炎の場合は、スリガラス様陰影が特徴で、肺血管陰影が透かして見える程淡く白い陰影を表します。 詳細は、画像をご覧下さい。 マイコプラズマ肺炎と正常な肺の比較画像 健康診断の基本編の1項目でもある胸部x線検査 についてです。 胸部レントゲン検査 は肺・心臓・大動脈など呼吸器と循環器異常がないか調べる検査でよく行われています。検査結果の見方や検査当日の注意事項、服装や検査前の食事の取り方など紹介して行きます。第1章 胸部x線写真の正しい理解と読影 4 jcopy c.肺野の観察法 1)肺野の病変を見落とさないためのコツ 肺野は,肺門部を除く肺末梢の領域をさす.肺野の異常は,正常部より透過性が亢進
医療機関でもレントゲン車でも、一般的な健康診断であれば同じレベルの写真を撮ることができます。 デジタル式撮影によってより安全に X線は光の一種で、物質を通り抜けることで体の中を映し出します。X線が通り抜けにくいものが、影として白っぽく写ります。 X線も放射線であること大動脈弓が、正常な場合とは逆に右後方に向かい、脊椎の右側を下降しています。生まれつきの異常によるものです。 横隔膜の挙上 (おうかくまくのきょじょう) 横隔膜が上にあがっている状態です。横隔膜神経の麻痺、横隔膜弛緩症、肝腫大、横隔膜ヘルニアなどでみられます。 横隔膜の腫瘤健康診断 予防接種 自費診療 ・発症例ではCTで86%に異常が認められるが、レントゲンでの異常は59%にとどまり、レントゲンでは一定数見逃してしまう可能性がある。 ・CTでは当初は両側の肺の下葉に淡い影(すりガラス影)をきたす例が多い。重症化すると影は濃くなり(浸潤影)、肺
白い影 正常 肺 レントゲン 健康のギャラリー
各画像をクリックすると、ダウンロードまたは拡大表示できます
白黒画像にも違いがある 肺がん検査のさまざまな方法 肺がんとともに生きる | ![]() 白黒画像にも違いがある 肺がん検査のさまざまな方法 肺がんとともに生きる | ![]() 白黒画像にも違いがある 肺がん検査のさまざまな方法 肺がんとともに生きる |
![]() 白黒画像にも違いがある 肺がん検査のさまざまな方法 肺がんとともに生きる | ![]() 白黒画像にも違いがある 肺がん検査のさまざまな方法 肺がんとともに生きる | ![]() 白黒画像にも違いがある 肺がん検査のさまざまな方法 肺がんとともに生きる |
![]() 白黒画像にも違いがある 肺がん検査のさまざまな方法 肺がんとともに生きる | 白黒画像にも違いがある 肺がん検査のさまざまな方法 肺がんとともに生きる | ![]() 白黒画像にも違いがある 肺がん検査のさまざまな方法 肺がんとともに生きる |
![]() 白黒画像にも違いがある 肺がん検査のさまざまな方法 肺がんとともに生きる | 白黒画像にも違いがある 肺がん検査のさまざまな方法 肺がんとともに生きる | 白黒画像にも違いがある 肺がん検査のさまざまな方法 肺がんとともに生きる |
![]() 白黒画像にも違いがある 肺がん検査のさまざまな方法 肺がんとともに生きる | ![]() 白黒画像にも違いがある 肺がん検査のさまざまな方法 肺がんとともに生きる | ![]() 白黒画像にも違いがある 肺がん検査のさまざまな方法 肺がんとともに生きる |
![]() 白黒画像にも違いがある 肺がん検査のさまざまな方法 肺がんとともに生きる | 白黒画像にも違いがある 肺がん検査のさまざまな方法 肺がんとともに生きる | ![]() 白黒画像にも違いがある 肺がん検査のさまざまな方法 肺がんとともに生きる |
![]() 白黒画像にも違いがある 肺がん検査のさまざまな方法 肺がんとともに生きる | 白黒画像にも違いがある 肺がん検査のさまざまな方法 肺がんとともに生きる | ![]() 白黒画像にも違いがある 肺がん検査のさまざまな方法 肺がんとともに生きる |
![]() 白黒画像にも違いがある 肺がん検査のさまざまな方法 肺がんとともに生きる | 白黒画像にも違いがある 肺がん検査のさまざまな方法 肺がんとともに生きる | 白黒画像にも違いがある 肺がん検査のさまざまな方法 肺がんとともに生きる |
白黒画像にも違いがある 肺がん検査のさまざまな方法 肺がんとともに生きる | ![]() 白黒画像にも違いがある 肺がん検査のさまざまな方法 肺がんとともに生きる | 白黒画像にも違いがある 肺がん検査のさまざまな方法 肺がんとともに生きる |
![]() 白黒画像にも違いがある 肺がん検査のさまざまな方法 肺がんとともに生きる | 白黒画像にも違いがある 肺がん検査のさまざまな方法 肺がんとともに生きる | ![]() 白黒画像にも違いがある 肺がん検査のさまざまな方法 肺がんとともに生きる |
![]() 白黒画像にも違いがある 肺がん検査のさまざまな方法 肺がんとともに生きる | ![]() 白黒画像にも違いがある 肺がん検査のさまざまな方法 肺がんとともに生きる | ![]() 白黒画像にも違いがある 肺がん検査のさまざまな方法 肺がんとともに生きる |
白黒画像にも違いがある 肺がん検査のさまざまな方法 肺がんとともに生きる | ![]() 白黒画像にも違いがある 肺がん検査のさまざまな方法 肺がんとともに生きる | ![]() 白黒画像にも違いがある 肺がん検査のさまざまな方法 肺がんとともに生きる |
![]() 白黒画像にも違いがある 肺がん検査のさまざまな方法 肺がんとともに生きる | ![]() 白黒画像にも違いがある 肺がん検査のさまざまな方法 肺がんとともに生きる | 白黒画像にも違いがある 肺がん検査のさまざまな方法 肺がんとともに生きる |
![]() 白黒画像にも違いがある 肺がん検査のさまざまな方法 肺がんとともに生きる | ![]() 白黒画像にも違いがある 肺がん検査のさまざまな方法 肺がんとともに生きる | 白黒画像にも違いがある 肺がん検査のさまざまな方法 肺がんとともに生きる |
![]() 白黒画像にも違いがある 肺がん検査のさまざまな方法 肺がんとともに生きる | ![]() 白黒画像にも違いがある 肺がん検査のさまざまな方法 肺がんとともに生きる | 白黒画像にも違いがある 肺がん検査のさまざまな方法 肺がんとともに生きる |
![]() 白黒画像にも違いがある 肺がん検査のさまざまな方法 肺がんとともに生きる | ![]() 白黒画像にも違いがある 肺がん検査のさまざまな方法 肺がんとともに生きる | ![]() 白黒画像にも違いがある 肺がん検査のさまざまな方法 肺がんとともに生きる |
![]() 白黒画像にも違いがある 肺がん検査のさまざまな方法 肺がんとともに生きる | ![]() 白黒画像にも違いがある 肺がん検査のさまざまな方法 肺がんとともに生きる | ![]() 白黒画像にも違いがある 肺がん検査のさまざまな方法 肺がんとともに生きる |
![]() 白黒画像にも違いがある 肺がん検査のさまざまな方法 肺がんとともに生きる | 白黒画像にも違いがある 肺がん検査のさまざまな方法 肺がんとともに生きる | ![]() 白黒画像にも違いがある 肺がん検査のさまざまな方法 肺がんとともに生きる |
白黒画像にも違いがある 肺がん検査のさまざまな方法 肺がんとともに生きる | ![]() 白黒画像にも違いがある 肺がん検査のさまざまな方法 肺がんとともに生きる | 白黒画像にも違いがある 肺がん検査のさまざまな方法 肺がんとともに生きる |
![]() 白黒画像にも違いがある 肺がん検査のさまざまな方法 肺がんとともに生きる | 白黒画像にも違いがある 肺がん検査のさまざまな方法 肺がんとともに生きる | ![]() 白黒画像にも違いがある 肺がん検査のさまざまな方法 肺がんとともに生きる |
![]() 白黒画像にも違いがある 肺がん検査のさまざまな方法 肺がんとともに生きる | ![]() 白黒画像にも違いがある 肺がん検査のさまざまな方法 肺がんとともに生きる | ![]() 白黒画像にも違いがある 肺がん検査のさまざまな方法 肺がんとともに生きる |
![]() 白黒画像にも違いがある 肺がん検査のさまざまな方法 肺がんとともに生きる | ![]() 白黒画像にも違いがある 肺がん検査のさまざまな方法 肺がんとともに生きる | 白黒画像にも違いがある 肺がん検査のさまざまな方法 肺がんとともに生きる |
![]() 白黒画像にも違いがある 肺がん検査のさまざまな方法 肺がんとともに生きる | 白黒画像にも違いがある 肺がん検査のさまざまな方法 肺がんとともに生きる | 白黒画像にも違いがある 肺がん検査のさまざまな方法 肺がんとともに生きる |
白黒画像にも違いがある 肺がん検査のさまざまな方法 肺がんとともに生きる | ![]() 白黒画像にも違いがある 肺がん検査のさまざまな方法 肺がんとともに生きる | 白黒画像にも違いがある 肺がん検査のさまざまな方法 肺がんとともに生きる |
![]() 白黒画像にも違いがある 肺がん検査のさまざまな方法 肺がんとともに生きる | ![]() 白黒画像にも違いがある 肺がん検査のさまざまな方法 肺がんとともに生きる | ![]() 白黒画像にも違いがある 肺がん検査のさまざまな方法 肺がんとともに生きる |
白黒画像にも違いがある 肺がん検査のさまざまな方法 肺がんとともに生きる | ![]() 白黒画像にも違いがある 肺がん検査のさまざまな方法 肺がんとともに生きる | ![]() 白黒画像にも違いがある 肺がん検査のさまざまな方法 肺がんとともに生きる |
![]() 白黒画像にも違いがある 肺がん検査のさまざまな方法 肺がんとともに生きる | 白黒画像にも違いがある 肺がん検査のさまざまな方法 肺がんとともに生きる | ![]() 白黒画像にも違いがある 肺がん検査のさまざまな方法 肺がんとともに生きる |
白黒画像にも違いがある 肺がん検査のさまざまな方法 肺がんとともに生きる | ![]() 白黒画像にも違いがある 肺がん検査のさまざまな方法 肺がんとともに生きる | ![]() 白黒画像にも違いがある 肺がん検査のさまざまな方法 肺がんとともに生きる |
白黒画像にも違いがある 肺がん検査のさまざまな方法 肺がんとともに生きる | ![]() 白黒画像にも違いがある 肺がん検査のさまざまな方法 肺がんとともに生きる | ![]() 白黒画像にも違いがある 肺がん検査のさまざまな方法 肺がんとともに生きる |
![]() 白黒画像にも違いがある 肺がん検査のさまざまな方法 肺がんとともに生きる | 白黒画像にも違いがある 肺がん検査のさまざまな方法 肺がんとともに生きる | ![]() 白黒画像にも違いがある 肺がん検査のさまざまな方法 肺がんとともに生きる |
![]() 白黒画像にも違いがある 肺がん検査のさまざまな方法 肺がんとともに生きる | 白黒画像にも違いがある 肺がん検査のさまざまな方法 肺がんとともに生きる | ![]() 白黒画像にも違いがある 肺がん検査のさまざまな方法 肺がんとともに生きる |
![]() 白黒画像にも違いがある 肺がん検査のさまざまな方法 肺がんとともに生きる | 白黒画像にも違いがある 肺がん検査のさまざまな方法 肺がんとともに生きる | ![]() 白黒画像にも違いがある 肺がん検査のさまざまな方法 肺がんとともに生きる |
![]() 白黒画像にも違いがある 肺がん検査のさまざまな方法 肺がんとともに生きる | 白黒画像にも違いがある 肺がん検査のさまざまな方法 肺がんとともに生きる | ![]() 白黒画像にも違いがある 肺がん検査のさまざまな方法 肺がんとともに生きる |
![]() 白黒画像にも違いがある 肺がん検査のさまざまな方法 肺がんとともに生きる | 白黒画像にも違いがある 肺がん検査のさまざまな方法 肺がんとともに生きる | ![]() 白黒画像にも違いがある 肺がん検査のさまざまな方法 肺がんとともに生きる |
![]() 白黒画像にも違いがある 肺がん検査のさまざまな方法 肺がんとともに生きる | ![]() 白黒画像にも違いがある 肺がん検査のさまざまな方法 肺がんとともに生きる |
徳島県医師会の健康相談 肺の異常影 肺の異常影 詳細 カテゴリ 健康相談 公開日11年02月06日 外科系疾患 質問 CTで肺に影見つかる 50代の男性です。人間ドックで、肺に3~35ミリの影があると言われました。半年後に再受診してCT検査をしたのですが、小さすぎて何か分からず、半年~1年※健康診断における胸部レントゲン検査は新型コロナウイルスに罹患しているかどうかを診断する検査ではありません。 <心大血管以外の所見> よく見られる所見 所見説明;








































































